
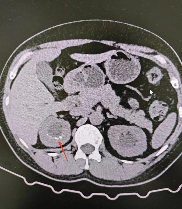
45岁的李女士(化名),因结石反复发作而苦恼,多次手术消除石头,但是结石像割不完的韭菜,术中显示:密密麻麻的结石斑点,一半扎在组织里,一半探出肾盏。李女士被诊断为髓质海绵肾,它让李女士的肾脏成了一块天生就容易滋生结石的“温床”。

找出“土壤”问题,精准治理!
海绵肾结石,不能只盯着石头,更要关注长石头的“土壤”。面对李女士的情况,宁乡市中医医院泌尿外科团队启动了髓质海绵肾个体化全周期管理路径,精准评估,找出“土壤”问题,为李女士进行了全面的影像评估和高精度结石成分分析,同时邀请中医专家进行体质辨识,李女士属于“肾虚湿热质”,这正是她结石反复发作的体质基础。


为了帮助她解决梗阻性结石,科室采用输尿管软镜钬激光碎石术,经自然腔道进入肾脏,精准击碎并取出“冒尖”的结石,术后第二天她即可下床活动,根据体质,团队为她制定了个性化调理方案,包括中药内服、健康饮食与生活方式指导,并建立健康档案动态跟进,术后复查CT显示,肾脏内未形成新的梗阻性结石,微小“竹笋尖”也保持稳定。
李女士在复查时轻松地说:“以前总怕石头再长,现在心里有底了。我知道怎么吃、怎么喝、什么时候复查。就算石头真再‘冒尖’,我也不那么怕了。”
髓质海绵肾的结石虽然无法“断根”,但完全可以科学管理,髓质海绵肾遇上结石,别只盯着石头!这份“全周期管理”指南请收好。
髓质海绵肾
很多人一听“髓质海绵肾”就紧张,其实它不是肿瘤,也不是炎症,而是天生的肾发育异常,肾脏里排尿的微小管道末端天生形成许多小囊泡,让肾脏像海绵一样多孔,尿液滞留其中,矿物质慢慢沉积,便形成了星罗棋布的微小结石,结石反复发作的根源就在这,所以,科学管理不能只盯着石,更要关注长石头的“土壤”。
海绵肾患者易多发结石,而结石形成后又会增加尿路感染发生的风险,所以海绵肾临床上有症状者主要表现为,反复血尿、尿路感染及肾结石,可伴有肾绞痛。
对于海绵肾患者,无论有无症状,都必须坚持定期复查(如每6-12个月一次泌尿系B超或低剂量CT),这如同为肾脏进行定期“扫雷”,目的是密切监控结石的动态,评估梗阻风险。
全周期管理,4步守护“海绵肾”
针对髓质海绵肾患者,融合中西医理念,建立一套 “个体化全周期管理路径”。
第1步:精准评估与建档
利用高清影像技术,全面评估肾脏结构、结石分布及肾功能状态,同时引入中医体质辨识,为每位患者建立中西医结合健康档案。
第2步:规律监测与日常调护
制定个性化的复查计划,同时融入中医生活调护:
1、饮食调养:根据体质差异选择不同食疗方案。湿热偏重者,可常食冬瓜、赤小豆、薏米;肾气不足者,宜适当食用核桃、山药、黑芝麻。草酸钙结石患者应少吃浓茶、菠菜、巧克力等高草酸食物。
2、代茶饮调理:日常可选用金钱草、玉米须、白茅根等代茶饮用,具有清热利尿、通淋排石之效。
3、起居运动:避免久坐憋尿,保持规律作息。适当进行腰部运动,可促进气血流通,增强肾与膀胱的气化功能。
4、情志疏导:中医认为“恐伤肾”,长期焦虑、恐惧会耗伤肾气。通过冥想、音乐等方式调畅情志,有助于保护肾气。
第3步:微创干预关口前移
一旦发现梗阻迹象或结石明显增大,立即采用输尿管软镜等超微创技术精准清除结石,术后结合中医康复调理,减轻局部水肿,降低并发症风险。
第4步:长期随访与支持
通过持续随访,动态调整管理方案,定期进行中医体质复评,根据季节变化和体质演变,调整饮食起居指导。
科学管理“海绵肾”,中西医结合,治石更要“养土”。
湖南医聊特约作者:宁乡市中医医院 泌尿外科 高双双
(编辑YT)
牛达人配资提示:文章来自网络,不代表本站观点。